


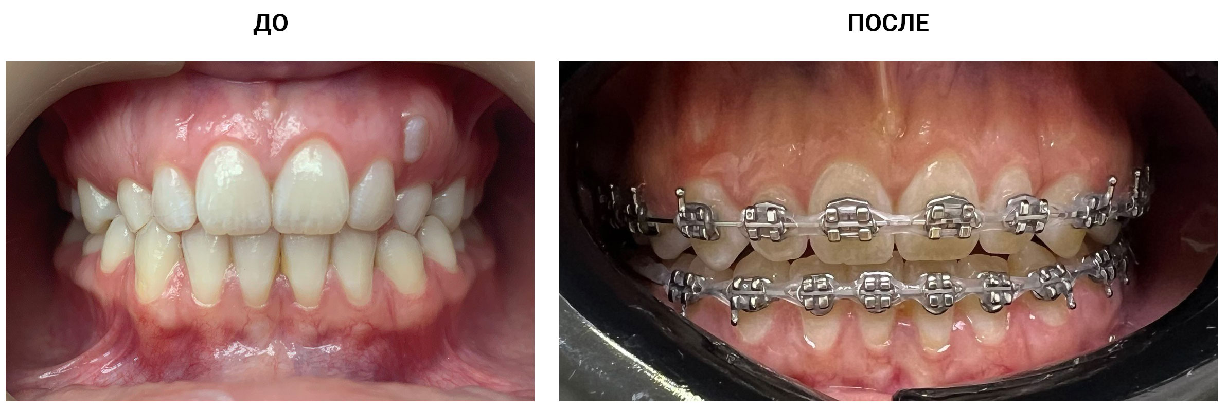
Пациентка 21 год. Ретенция постоянных верхних клыков. Перемещены в зубной ряд с помощью хирургического пособия и лигатурной брекет-системы:




Пациентка 21 год. Ретенция постоянных верхних клыков. Перемещены в зубной ряд с помощью хирургического пособия и лигатурной брекет-системы:
